Diagnostico y tratamiento
Etiología
- Las alteraciones biomecánicas que durante la marcha inciden directamente sobre la fascia plantar, produciendo sobrecargas de repetición.
- Pies cavos o planos, acortamiento de la cadena muscular posterior, obesidad y un calzado inapropiado.
- Otro factor a tener en cuenta es la rigidez articular o falta de movilidad en los tobillos, especialmente hacia la flexión dorsal del pie. Éste déficit de movimiento genera un “stress” añadido a la fascia plantar durante las actividades de la vida diaria y/o deportivas que acelera el proceso inflamatorio y degenerativo.
Síntomas
El síntoma de la fascitis plantar es el dolor, en ocasiones incapacitante, que aparece en la zona media de la planta del pie o en el talón en la base antero-medial.
- Éste suele presentarse desde primera hora de la mañana, cuando estamos recién levantados, por la rigidez que se presenta durante la noche y va cediendo a lo largo del día, mejorando con el descanso y empeorando después de pararse o sentarse un rato, al subir escaleras y después de una actividad intensa.
- En ocasiones el dolor de una fascitis plantar puede acabar alcanzando el tobillo o incluso los dedos de los pies.
Anamnesis y Ex. físico
- Llevar a cabo una anamnesis detallada y realizar un examen físico minucioso son dos pasos imprescindibles a la hora de hacer un diagnóstico preciso.
- La afección es frecuente entre corredores y baliarines, y en personas que deben estar paradas o caminar sobre superficies duras durante períodos prolongados.
- Examen físico:
- El dolor agudo intenso del talón, en especial con la presencia de un ligero edema local, puede indicar un desgarro fascial agudo. Algunos pacientes describen un dolor quemante o punzante a lo largo del borde medial de la planta del pie al caminar.
- La fascitis plantar se confirma si al aplicar presión firme con el pulgar sobre el calcáneo con el pie en dorsiflexión se desencadena dolor.
Examenes complementarios

- Por lo general, no es necesario realizar pruebas, si el dolor es muy intenso, se puede solicitar una ecografía para descartar una microrotura o rotura parcial de la fascia plantar.
- Podría sugerir una radiografía o una resonancia magnética para asegurarse de que otro problema, como una fractura por estrés, no sea la causa del dolor.
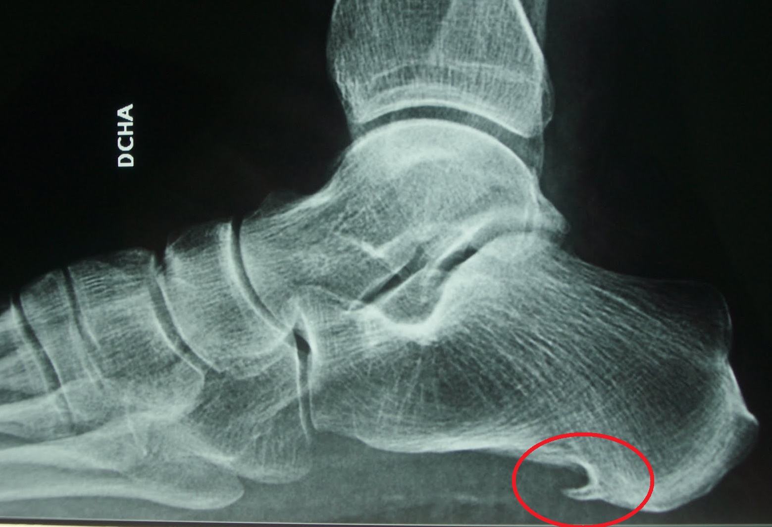
- Algunas veces, una radiografía muestra un espolón del hueso del calcaneo, a menudo se creía que estos espolones óseos eran responsables del dolor en el talón y se extirpaban quirúrgicamente. Sin embargo, muchas personas que tienen espolones óseos en los talones no tienen dolor.
Tratamiento
El tratamiento comprende el reposo relativo con una reducción de las actividades estresantes, los AINE, el uso de una talonera acolchada o de una ortesis de copa para el talón, el apoyo del arco y el estiramiento del tendón de Aquiles y la fascia plantar. A menudo es útil una inyección local de corticoides con una aguja del calibre 25
Dx. diferencial
- Otras afecciones que causan dolor en el talón pueden simular una fascitis plantar:
- El dolor pulsátil en el talón, en especial al quitarse los zapatos o con ligero calor y edema, es más indicativo de bursitis del calcáneo.
- El dolor retrocalcáneo agudo intenso, con enrojecimiento y calor, puede indicar gota.
- El dolor que se irradia desde la parte inferior de la espalda hacia el talón puede corresponder a una radiculopatía en S1 debida a una hernia de disco en L5.
- Rotura de la fascia plantar
- Bursitis subcalcánea
- Síndrome doloroso de la almohadilla grasa del talón
- Fractura de estrés de calcáneo
- Síndrome del túnel del tarso
- Es una prominencia ósea que se forma sobre la inserción calcánea de la fascia como respuesta a microtraumatismos repetidos e inflamación.