
- El tratamiento antibiótico empírico recomendado en las guías clínicas nacionales y extranjeras reduce la intensidad y duración de la sintomatología asociada a la neumonía, el riesgo de complicaciones y la mortalidad. En la mayoría de los casos, no es posible identificar el patógeno respiratorio que ocasiona la infección pulmonar y por esto el tratamiento antibiótico se prescribe en forma empírica. La elección del tratamiento antimicrobiano empírico debe considerar los antecedentes epidemiológicos del paciente, la estacionalidad, gravedad del caso, lugar de manejo (ambulatorio o en el hospital), el patrón de resistencia a los antimicrobianos de los microorganismos, la farmacocinética y farmacodinamia de los antibióticos, los costos del tratamiento, la disponibilidad de los medicamentos y las recomendaciones de las guías clínicas.
- En general, la antibioterapia se debe iniciar precozmente, dentro de 4-8 horas de realizado el diagnóstico, para reducir el riesgo de complicaciones y muerte. Además, se recomienda reevaluar la condición del paciente a las 48-72 horas de instaurado el tratamiento antimicrobiano en el ámbito ambulatorio y al finalizar el tratamiento.
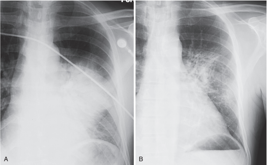
- La radiografía de tórax de control se solicita a las 6-8 semanas de finalizado el tratamiento a los pacientes con evolución clínica prolongada y en sujetos fumadores para descartar el cáncer pulmonar; no se justificaría en pacientes con evolución clínica favorable y sin factores de riesgo. Si se pesquisan signos de alarma (compromiso del estado general, rechazo alimentario, fiebre prolongada, dificultad respiratoria progresiva, compromiso de conciencia o inestabilidad hemodinámica) se debe referir al hospital
- La neumonía, especialmente la neumonía neumocócica, puede resolverse en 2-3 días si el microorganismo causal es sensible al antibiótico administrado. La mayor parte de las neumonías suelen resolverse desde dentro (vacuolización), con la desaparición gradual de forma parcheada en el transcurso de varios días o semanas. Si una neumonía no se resuelve al cabo de varias semanas, hay que considerar la posibilidad de una lesión obstructiva subyacente, como un tumor que impide el drenaje adecuado de la porción del pulmón afectada. La TC torácica puede ser útil para mostrar la lesión obstructiva.