- Ha habido muchos intentos de clasificar la neumonía según la etiología, el entorno clínico en el que el paciente adquirió la infección y el patrón de afectación del parénquima pulmonar, entre otras clasificaciones. En este recurso educativo se revisa la neumonía según la clasificación seguida por la American Thoracic Society.
Presentación clínica
Neumonía típica y atípica: un término histórico en desuso
- Típica
- Clásicamente causado por Streptococcus pneumoniae, pero otros organismos piógenos pueden causar una presentación similar. Caracterizado tanto por tos que produce esputo purulento como por consolidación lobar
- Clásicamente causado por Streptococcus pneumoniae, pero otros organismos piógenos pueden causar una presentación similar. Caracterizado tanto por tos que produce esputo purulento como por consolidación lobar
- Atípica
- Causada por Mycoplasma pneumoniae, Chlamydia pneumoniae, especies de Legionella y virus respiratorios. Caracterizado por tos seca e infiltrados irregulares.
Entorno clínico
- Neumonía Adquirida en la Comunidad (NAC)
- Cualquier neumonía adquirida fuera de un hospital en un entorno comunitario.
- Cualquier neumonía adquirida fuera de un hospital en un entorno comunitario.
- Neumonía adquirida en el hospital (NAH)
- Cualquier neumonía adquirida 48 horas después de haber ingresado en un entorno de hospitalización, como un hospital, y que no esté incubando en el momento de la admisión, se considera NAH o HAP según siglas en ingles (Hospital Acquired Pneumonia)
- Cualquier neumonía adquirida 48 horas después de haber ingresado en un entorno de hospitalización, como un hospital, y que no esté incubando en el momento de la admisión, se considera NAH o HAP según siglas en ingles (Hospital Acquired Pneumonia)
- Neumonía asociada al ventilador (NAV)
- Cualquier neumonía adquirida 48 horas después de la intubación endotraqueal se considera NAV o VAP según siglas en ingles (Ventilator Acquired Pneumonia).
- Cualquier neumonía adquirida 48 horas después de la intubación endotraqueal se considera NAV o VAP según siglas en ingles (Ventilator Acquired Pneumonia).
- Esta clasificación ayuda a aclarar la confusión que rodea a los términos neumonía asociada a la atención médica y adquirida en el hospital. Ahora toda la neumonía adquirida en el entorno de centros de vida asistida, centros de rehabilitación y otros centros de atención médica se ha incluido en la neumonía adquirida en la comunidad, y se necesita un entorno hospitalario para clasificar la neumonía como NAH. Estas categorías han ayudado a establecer los organismos comunes responsables de cada tipo de neumonía y ayudaron a formular pautas de tratamiento para el manejo eficiente tanto en pacientes hospitalizados como ambulatorios.
Por gravedad y lugar de atención
- Determinado por la gravedad de las puntuaciones de la enfermedad en combinación con el juicio clínico y una evaluación del apoyo social del paciente
- Neumonía que se puede tratar en un entorno ambulatorio
- Neumonía que debe ser manejada con hospitalización (sala general)
- Neumonía que es grave y debe manejarse en la UPC
- Neumonía adquirida en la comunidad grave (ya sea criterio mayor o 3 o más criterios menores)
Afectación
- La neumonía generalmente se clasifica de acuerdo con la apariencia de la imagen Rx del tórax en neumonía lobular, bronconeumonía y neumonía intersticial:
- Neumonía focal no segmentaria o lobar: afectación de un solo lóbulo del pulmón
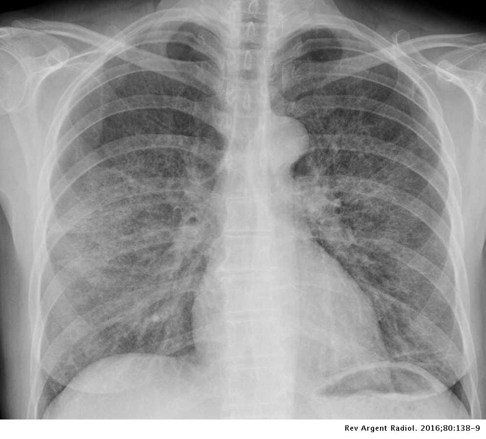
- En la neumonía lobar, el exudado inflamatorio comienza en los espacios aéreos distales adyacentes a la pleura visceral y luego se propaga a través de rutas de deriva de aire colaterales (poros de Kohn) para producir una opacificación uniforme y homogénea de segmentos parciales o completos de pulmón y, ocasionalmente, de todo un pulmón. En ocasiones, la infección se manifiesta como un foco esférico de consolidación. Con frecuencia se observa un broncograma aéreo. S. pneumoniae es, con mucho, la causa más frecuente de consolidación lobular completa. Otros agentes causales que producen consolidación lobar completa incluyen K. pneumoniae y otros bacilos gramnegativos, L. pneumophila, H. influenzae y, en ocasiones, M. pneumoniae.
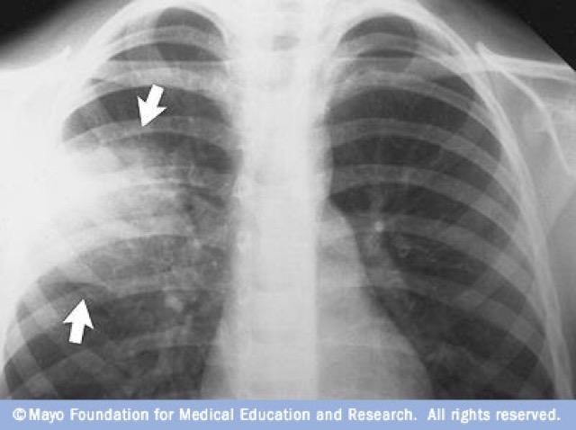
- Bronconeumonía multifocal o neumonía lobulillar
- La bronconeumonía (neumonía lobulillar) se caracteriza histológicamente por una inflamación predominantemente peribronquiolar. Aunque inicialmente irregular, la progresión de la enfermedad da como resultado una consolidación lobulillar y segmentaria. La inflamación peribronquiolar inicial se manifiesta radiológicamente como nódulos parcheados en el espacio aéreo con márgenes mal definidos. Un broncograma aéreo generalmente está ausente. Los organismos causantes más comunes de bronconeumonía son S. aureus, H. influenzae, P. aeruginosa y bacterias anaerobias.
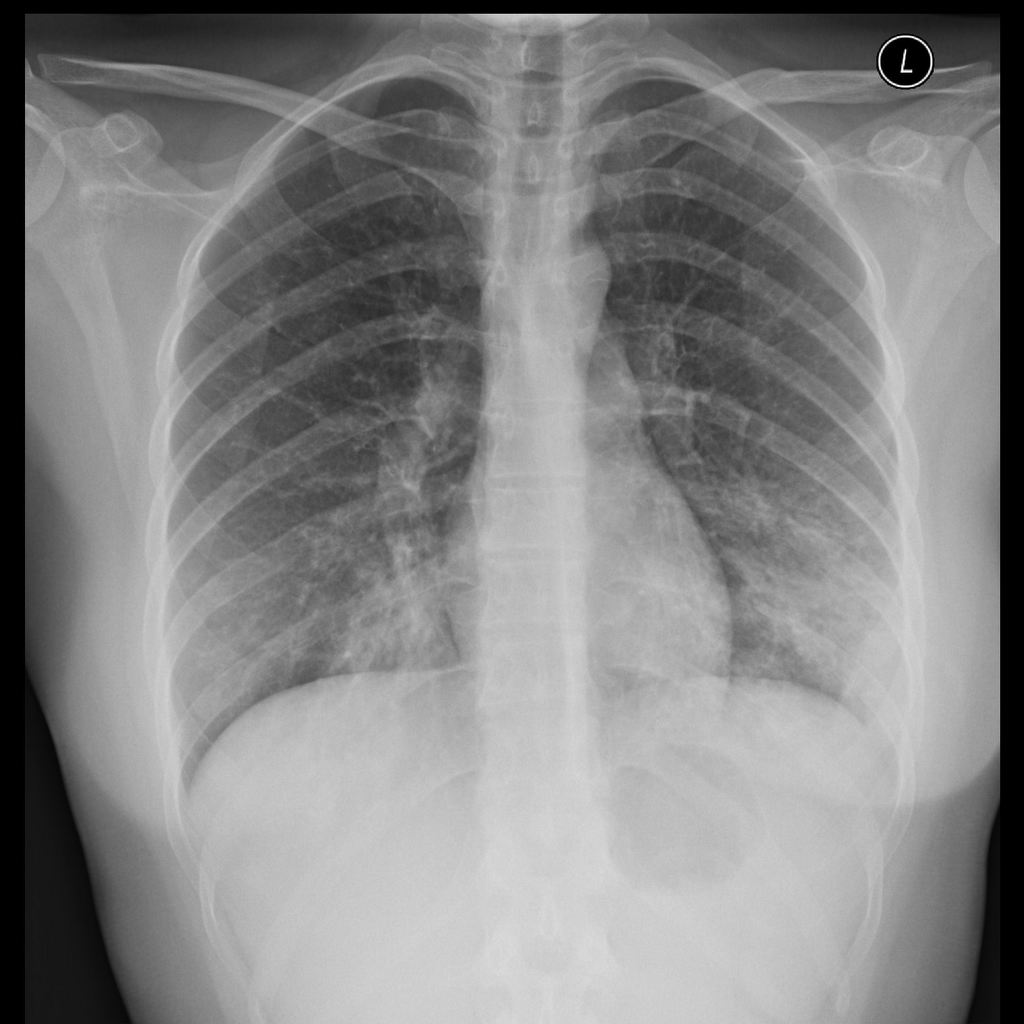
- Neumonía intersticial focal o difusa
- El término neumonía atípica (neumonía intersticial) fue inicialmente aplicado al aspecto clínico y radiográfico de la infección pulmonar que no se comporta ni se parece a la causada por S. pneumoniae. En la literatura, el término "neumonía atípica" (en oposición a "neumonía bacteriana") todavía se usa ampliamente, aunque técnicamente es incorrecto. Muchos organismos causantes se identifican como bacterias, aunque tipos inusuales (Mycoplasma es un tipo de bacteria sin pared celular y Chlamydia son parásitos intracelulares). Por lo tanto, es importante darse cuenta de que el término 'neumonía atípica', si se basa más correctamente en el tipo subyacente de patógeno causante, no solo se refiere a un patrón intersticial (neumonía por Pneumocystis jiroveci, ciertas infecciones virales sino también infecciones que se presentan con consolidación densa como como Legionella, Mycoplasma, Chlamydia, etc.). Las causas habituales de neumonía intersticial son las infecciones virales y por micoplasmas que se presentan radiográficamente con pequeñas opacidades heterogéneas focales o difusas.
- Neumonía focal no segmentaria o lobar: afectación de un solo lóbulo del pulmón
- Normalmente los bronquios no se ven porque estan rodeados de aire. El broncograma aereo se define por la visibilidad anormal del aire de los bronquios en el seno de la opacidad. Este es un signo cierto de lesión alveolar, y al mismo tiempo nos revela también que la patología se encuentra ubicada dentro del parénquima pulmonar y por último confirma que la luz del bronquio está permeable. En la neumonia la consolidacion sustituye este aire asi que los bronquios se ven como las ramas de un arbol porque tienen aire en su interior, en contraste con la opacidad que los rodea.
