
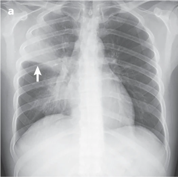
- Paciente de 40 años de edad, fumador desde los 18 años y sin antecedentes patológicos de interés. Consulta por cuadro de 24 horas de evolución de escalofríos, fiebre termometrada de 39 ºC, tos con expectoración y dolor pleurítico en el costado derecho. En la exploración física está consciente y orientado, la frecuencia respiratoria es de 34 rpm y la presión arterial sistólica de 115 mmHg. Se auscultan crepitantes en el campo medio y superior del hemitórax derecho. En la radiografía de tórax se observa una condensación en el lóbulo superior derecho (flecha).