- Derrame pleural y empiema pleural

- Absceso pulmonar:
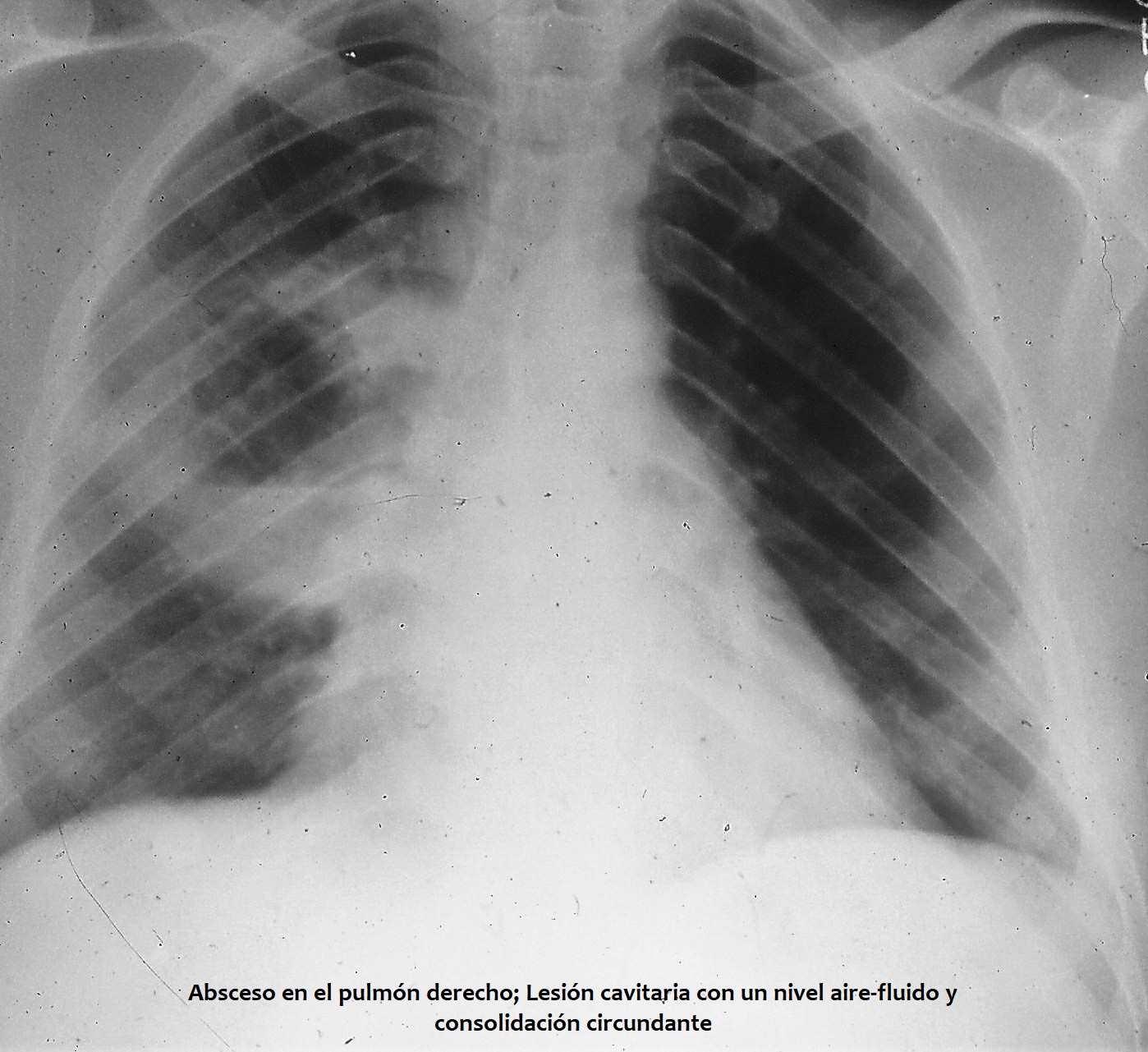
- El absceso pulmonar es una acumulación circunscrita de pus en el pulmón que da lugar a la formación de una cavidad, normalmente con un nivel hidroaéreo visible en la radiografía de tórax.
- La aspiración de contenidos gástricos es el factor causal más frecuente.
- La flora microbiana mixta, que incluye bacterias anaerobias y estreptococos microaerofílicos, está involucrada en la formación de abscesos relacionados con la aspiración de contenido gástrico.
- La fiebre asociada a tos productiva y expectoración purulenta es una manifestación clínica frecuente.
- El diagnóstico se basa en hallazgos radiológicos que revelan cavitación con nivel hidroaéreo. Por lo general, documentar la infección por anaerobios resulta difícil.
Las opciones de tratamiento incluyen fármacos antimicrobianos contra bacterias anaerobias y aerobias, administrados solos o en combinación. - La resección quirúrgica o el drenaje percutáneo, guiados por imágenes, se reservan para pacientes que no responden al tratamiento antimicrobiano.
- Tratamiento: antibioticoterapia y drenaje postural; en pocos casos sin mejoría se indica la resección quirúrgica. Inicialmente empíricamente penicilina benzatínica iv. 1,8-2,7 g (3-4,5 millones de UI) 4 × d en combinación con metronidazol iv. 0,5 g 4 × d o clindamicina iv. 600 mg 4 × d, o amoxicilina con clavulánico 1,2 g 3-4 × d. Cuando el agente etiológico y su farmacosensibilidad son conocidos → administrar el tratamiento dirigido. La duración del tratamiento: hasta el cierre de la cavidad del absceso (en general 4-8 semanas).
- El absceso pulmonar es una acumulación circunscrita de pus en el pulmón que da lugar a la formación de una cavidad, normalmente con un nivel hidroaéreo visible en la radiografía de tórax.
Neumonía adquirida en la comunidad
Complicaciones
Obra publicada con Licencia Creative Commons Reconocimiento Compartir igual 4.0