Lumbalgia mecánica

- Diversos factores de riesgo aumentan la prevalencia de esta patología, como por ejemplo: la edad, el tipo de trabajo u ocupación del sujeto, el sexo femenino, el sobrepeso y obesidad. El sobrepeso y la obesidad, definidos como índice de masa corporal (IMC) ≥25 y ≥30 kg/m2 respectivamente, podrían influir en el Dolor Lumbar, debido al aumento de la carga mecánica y disminución de la movilidad de la columna vertebral, lo cual contribuye a la degeneración discal y afectación de otras estructuras capsuloligamentosas y vasculonerviosas.
- Distensión muscular y lesiones
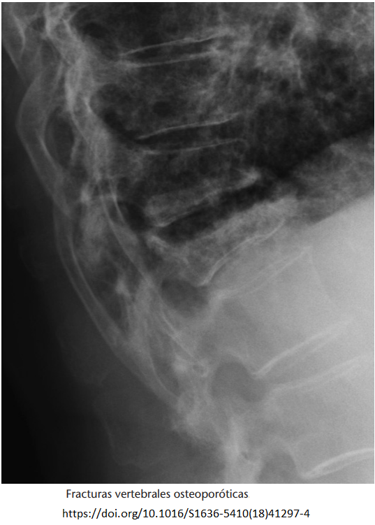
- Fractura vertebral (postraumática, osteoporótica).
- Enfermedad degenerativa del disco intervertebral y/o articulaciones facetarías.
- Hernia de disco.
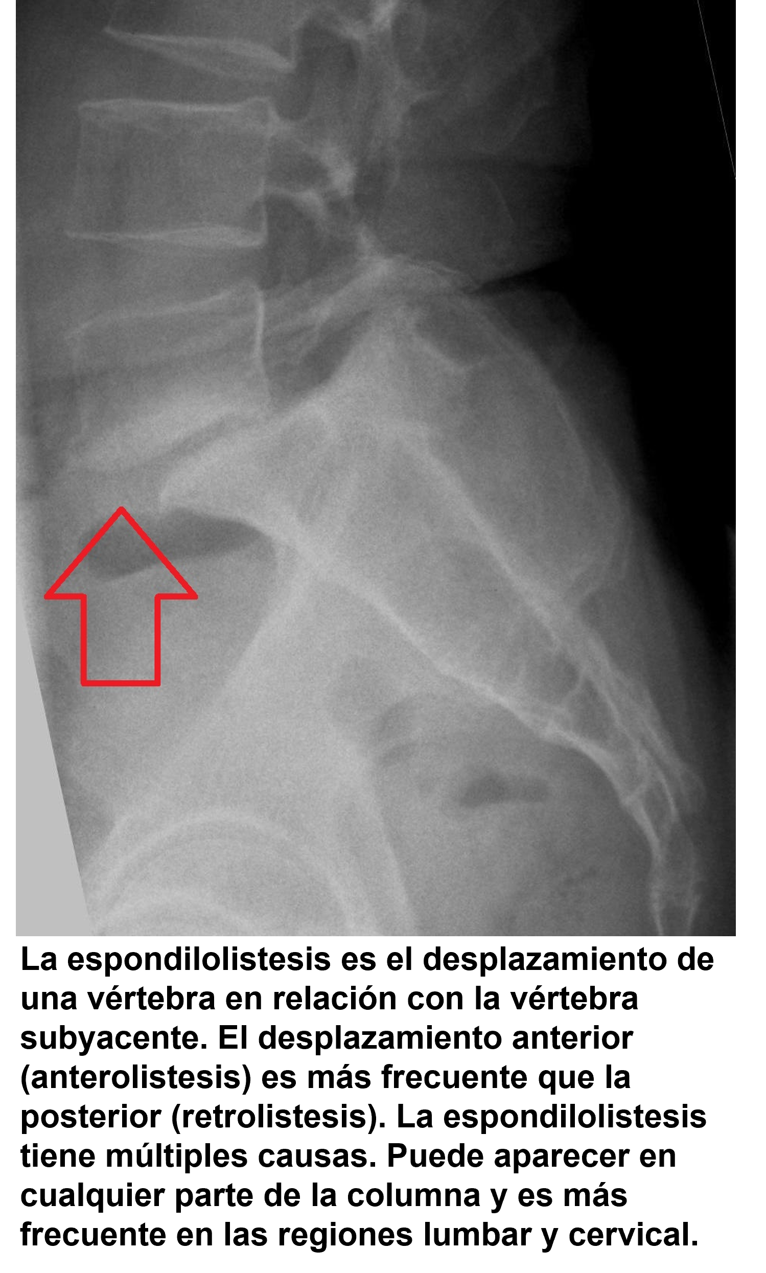
- Estenosis del canal lumbar. Espondilolisis y espondilolistesis.
- Alteraciones anatómicas (escoliosis, cifosis, síndrome de Bertolotti, etc.).
- Sobrecarga funcional (embarazo, hiperlordosis, dismetrías, etc.).
Lumbalgia no mécanica
- Tumores
- Neoplasias primarias (mieloma, linfoma, tumores de la médula espinal, etc.)
- Metástasis vertebrales.
- Tumores óseos benignos.
Espondiloartropatías seronegativas (EAS)
- Espondilitis anquilosante.
- Artritis reactiva (síndrome de Reiter).
- Artritis psoriásica.
- Artritis de la enfermedad inflamatoria intestinal (Crohn, colitis ulcerosa).
Infecciones
:::::::::
::::::::
- Osteomielitis
- Absceso epidural
- Absceso paravertebral
:::::::::
Otras causas
- Enfermedad de Paget
- Fibromialgia
- Enfermedad psicosomática, depresión
Dolor referido extralumbar
- Enfermedades renales (cólico nefrítico, pielonefritis, etc.).
- Enfermedades gastrointestinales (pancreatitis, colecistitis, diverticulitis, etc.).
- Enfermedades genitourinarias (prostatitis, endometriosis, etc.).
- Aneurisma aórtico. Herpes zóster. Artrosis de cadera.
- Síndrome del piriforme.
:::::::::
- El síndrome de Bertolotti es una causa frecuente de dolor lumbar en pacientes jóvenes, y se caracteriza por el agrandamiento anómalo de las apófisis transversas de la vértebra lumbar más caudal, que puede articular o fusionarse con el sacro o ilion.
- El síndrome de Reiter es una espondiloartropatía caracterizada por la inflamación estéril de la membrana sinovial, fascia y tendones, que tiene como factor desencadenante, infecciones en otras localizaciones de origen gastrointestinal o genitourinarias. Sin embargo después del reconocimiento de Hans Reiter como un activo colaborador nazi, se decidió cambiar el epónimo de síndrome de Reiter por el de artritis reactiva
- La enfermedad de Paget, también llamada osteítis deformante, es un proceso crónico. Es una enfermedad del esqueleto en cuya primera fase aumenta la resorción ósea producida por los osteoclastos (fase osteolítica-destructiva), seguida de formación de un nuevo hueso, duro, denso y menos vascularizado que el anterior (fase osteoblástica-esclerótica), lo que da pie a un tejido óseo anómalo, muy propenso a la deformidad y las fracturas.
- El síndrome del piriforme es un trastorno en el que el músculo piriforme (ubicado en los glúteos) sufre espasmos y causa dolor. Debido a que el músculo piriforme está ubicado cerca del nervio ciático, el síndrome también puede causar dolor, entumecimiento y hormigueo en la parte posterior de la pierna e incluso en el pie. Se desconocen las causas de esta afección. Los síntomas incluyen: sensibilidad aguda en glúteos; dolor sordo en glúteos; incapacidad para mover la articulación de la cadera en todo su rango de movimiento; dolor a lo largo de la parte posterior del muslo, la pantorrilla y en el pie; dolor que aumenta cuando está sentado durante largos períodos; dolor que aumenta cuando sube escaleras o se inclina.
- La fibromialgia se caracteriza por dolor musculoesquelético generalizado y sensación dolorosa a la presión en unos puntos específicos (puntos dolorosos). Este dolor se parece al originado en las articulaciones, pero no es una enfermedad articular. La palabra fibromialgia (FM) significa dolor en los músculos y en el tejido fibroso (ligamentos y tendones). Es una enfermedad frecuente, la padece entre el 2% al 6% de la población, sobre todo mujeres. Puede presentarse como única alteración (fibromialgia primaria) o asociada a otras enfermedades (fibromialgia concomitante).
- Síntomas. En términos generales podemos decir que la fibromialgia consiste en una anomalía en la percepción del dolor, de manera que se perciben como dolorosos, estímulos que habitualmente no lo son. Además de dolor, la fibromialgia puede ocasionar rigidez generalizada, sobre todo al levantarse por las mañanas, y sensación de inflamación mal delimitada en manos y pies. También pueden notarse hormigueos poco definidos que afectan de forma difusa sobre todo a las manos. La persona que busca la ayuda del médico suele decir “me duele todo”
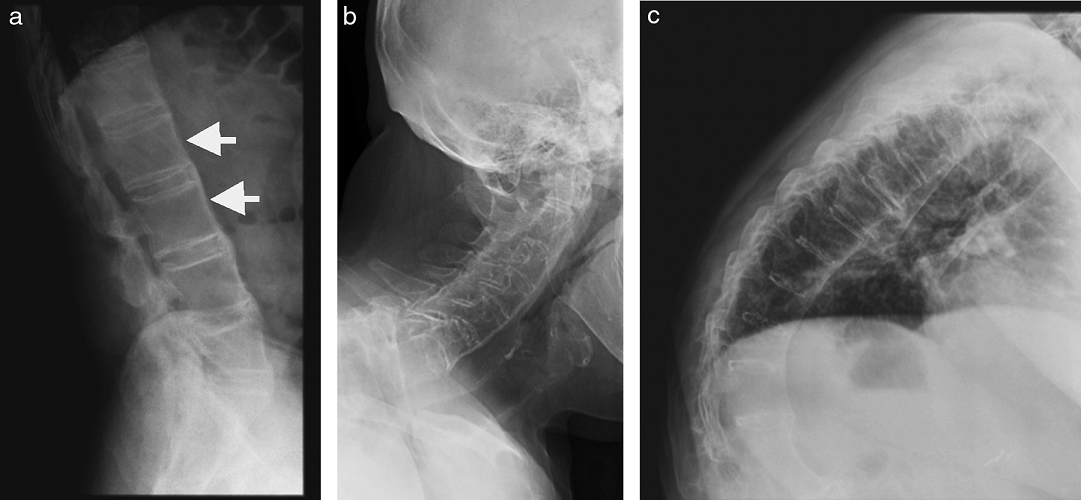
- La espondilitis anquilosante (EA) es una artropatía que se encuentra dentro del grupo de artropatías seronegativas (con antígeno reumatoideo negativo), siendo la entidad más común y representativa de ellas. Se caracteriza por inflamación crónica del esqueleto axial, con dolor de espalda de tipo inflamatorio y rigidez progresiva, que también puede involucrar caderas, hombros, articulaciones periféricas y entesis (que corresponden a sitios de inserción de ligamentos, músculos, fascias o cápsulas en un segmento óseo). Típicamente se manifiesta en pacientes jóvenes que inician su sintomatología entre los 20 y 30 años, que presentan en general buena respuesta a antiinflamatorios no esteroideos. En cuanto a la predilección por sexos, habitualmente se encuentra una relación H:M de 2:1 La enfermedad está fuertemente ligada al antígeno leucocitario humano B-27 (HLA B-27)
- Proyecciones laterales de radiografías de columna de un mismo paciente. Izquierda (a): cuadratura de cuerpos vertebrales de columna lumbar, con pérdida de su normal concavidad anterior (flechas). A la derecha (b y c) el mismo fenómeno, determinado por sindesmófitos.
- La artritis psoriásica es una enfermedad de las articulaciones que se presenta en aproximadamente un 10% de pacientes que padecen psoriasis en la piel. La gravedad de la artritis no tiene relación con la extensión de la lesión de la piel. El principal síntoma dérmico de esta patología es la aparición de placas de piel enrojecida bien delimitadas, cubiertas de escamas blanquecinas y que frecuentemente se distribuyen de forma bilateral afectando a zonas de roce como los codos o las rodillas. Los síntomas articulares son comunes a cualquier tipo de artritis (dolor, calor, enrojecimiento, incapacidad de movilizar la articulación y, en ocasiones, deformación de la misma). Sin embargo, hay tres cosas que la diferencian del resto de las artritis: la afectación articular acostumbra a ser asimétrica, es decir si se afecta una rodilla no acostumbra a estar lesionada, simultáneamente la otra rodilla; lesiona las articulaciones interfalángicas distales (las que hay junto a las uñas); produce una inflamación conjunta de las articulaciones y de los tendones de los dedos, conocida como “dedo en salchicha” o dactilitis.
- Discos intervertebrales. Entre cada una de las vértebras hay discos intervertebrales flexibles. Estos actúan absorbiendo el impacto cuando usted camina o corre. Los discos intervertebrales son planos y redondos, y tienen más o menos 125 milimetros de espesor. Están formados de dos componentes:
- Anillo fibroso. Este es el anillo externo, resistente y flexible del disco.
- Núcleo pulposo. Este es el centro blando y gelatinoso del disco.
- Un disco comienza a herniarse cuando su núcleo gelatinoso empuja hacia su anillo externo debido a fricción y desgaste o una lesión súbita. Esta presión contra el anillo externo puede causar dolor lumbar.



