Exámenes de Laboratorio
|
, |
Diagnóstico imagenológico
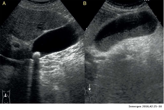
Ecotomografía Abdominal. Es el examen de elección para el estudio inicial de un paciente con sospecha de colecistitis aguda, ya que es un examen no invasivo, de bajo costo, alta disponibilidad, alta sensibilidad y especificidad. Corte longitudinal en el hipocondrio derecho:
- A: colelitiasis, imagen intravesicular hiperecogénica con sombra posterior a nivel del cuello.
- B: barro biliar, ocupación de la porción más declive de la vesícula con material ecogénico y con nivel horizontal.
- A: colelitiasis, imagen intravesicular hiperecogénica con sombra posterior a nivel del cuello.
- Colangiopancreatografía retrógrada endoscópica, indicaciones de CPRE
- Incluyen ictericia obstructiva, tratamiento de enfermedades del sistema ductal pancreático o biliar o muestreo de tejido, sospecha de cáncer de páncreas, pancreatitis de causa desconocida, manometría para esfínter de Oddi, drenaje nasobiliar, colocación de stents biliares por estenosis y fugas, drenaje de seudoquistes pancreáticos y balón dilatación de la papila duodenal y estenosis ductales. La esfinterotomía está indicada en casos de disfunción o estenosis del esfínter de Oddi, dificultad con la colocación de stents biliares o para acceder al conducto pancreático, estenosis biliares, cálculos en los conductos biliares, síndrome del sumidero biliar después de coledocoduodenostomía, coledococele y en candidatos quirúrgicos pobres con carcinoma ampular.
- Incluyen ictericia obstructiva, tratamiento de enfermedades del sistema ductal pancreático o biliar o muestreo de tejido, sospecha de cáncer de páncreas, pancreatitis de causa desconocida, manometría para esfínter de Oddi, drenaje nasobiliar, colocación de stents biliares por estenosis y fugas, drenaje de seudoquistes pancreáticos y balón dilatación de la papila duodenal y estenosis ductales. La esfinterotomía está indicada en casos de disfunción o estenosis del esfínter de Oddi, dificultad con la colocación de stents biliares o para acceder al conducto pancreático, estenosis biliares, cálculos en los conductos biliares, síndrome del sumidero biliar después de coledocoduodenostomía, coledococele y en candidatos quirúrgicos pobres con carcinoma ampular.
- Contraindicaciones de CPRE
- Cuando no hay evidencia de enfermedad biliar o pancreática, cuando se dispone de herramientas de diagnóstico más seguras, en casos de dolor abdominal de causa desconocida y cuando la CPRE no cambiaría el plan de acción
- Cuando no hay evidencia de enfermedad biliar o pancreática, cuando se dispone de herramientas de diagnóstico más seguras, en casos de dolor abdominal de causa desconocida y cuando la CPRE no cambiaría el plan de acción
