👨🏻‍⚕️​👩🏻‍⚕️ ClinicalCoach IA

Saltar la navegación

Examen de la cavidad oral y orofaringe

Cavidad oral y orofaringe

  • Lo primero q observamos al examinar la boca son los labios. Con la inspección se pueden determinar las siguientes alteraciones:
    • Desviación comisura labial en una parálisis del nervio facial
    • Alteraciones coloración:
    • Lesiones tumorales: Carcinoma de labio, placa ulcerada en labio inferior que no cicatriza
    • Lesiones herpéticas: Gingivoestomatítis herpética. El labio también puede presentar lesiones como el herpes labial
    • Estomatitis angular: Suelen conocerse como boqueras o queilitis angular y son aquellas pequeñas heridas en forma de fisuras que salen en la comisura de los labios, puede ser por déficit fierro, vit b. En algunos pacientes se da en contexto de candidiasis
    • Telangiectasias: Síndrome Rendu-Osler-Weber múltiples telangiectasias en piel y mucosas
    • Microstomía: Es una condición adquirida o congénita que implica la reducción del perímetro de la cavidad oral o una apertura oral anormalmente pequeña.
    • Defectos congénitos: Labio leporino o fisura labial: estrecha hendidura en labio superior que puede llegar hasta la nariz.

Encías y mucosa yugal o bucal

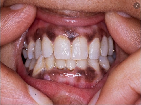
  • Melanoplaquias: manchas negrzucas que se pueden ver en enfermedades con enfermedad de Addison (insuficiente secreción de corticoides) y avitaminosis.
  • Trastornos inflamatorios: infecciones bacterianas, virales, fungicas, por noxas (Ribete de Burton). Podemos ver procesos inflamatorios como gingivitis, ulceras, abscesos, hipertrofia gingival, leucoplasia
  • Manchas de koplik esta dentro del grupo de los enantemas. Pequeñas manchas o puntos blancos rodeados de halo rojo ubicado en mucosa interna de mejilla, enfrentando los primeros molares. Aparecen en etapa inicial del sarampión antes del exantema cutáneo maculopapular. Es un signos precoz y diagnostico de la enfermedad. Desaparece en 2 a 3 días.

Piso de la boca

  • Para inspeccionar la parte anterior es suficiente que la boca esté bien abierta y se le pide al paciente que lleve arriba y atrás la punta de la lengua. En el piso de boca debe examinarse el grado de humectación de la mucosa oral y por ende el nivel de flujo salival, lo cual expresa el grado de función de las glándulas salivales mayores principalmente, pero también las menores. Usando una técnica bimanual, se palpan la lengua y el piso de la boca en busca de sensibilidad, edema o masas. La angina de Ludwig es una infección bacteriana que compromete el piso de la boca, debajo de la lengua. A menudo deriva de bacterias comunes, como Streptococcus o Staphylococcus. Este tipo de celulitis generalmente se desarrolla debido a una infección dental.
  • Exploraremos: 
    • Frenillo lingual. Es una parte de la mucosa de la cavidad oral, que nace desde la base de la lengua y se extiende hasta las cercanías de la encía, en la zona posterior de dientes antero-inferiores. En algunos casos, este frenillo puede ser corto, (pudiendo limitar la movilidad lingual) comprometiendo funciones importantes. La causa de esta alteración, llamada anquiloglosia, es aún desconocida, puede presentarse de forma aislada sin necesariamente estar vinculada a síndromes o condiciones médicas, sin embargo puede asociarse con ciertos síndromes y condiciones, incluyendo el síndrome de Ehlers-Danlos
    • Conducto de Wharton
  • Buscar:
    • Placas rojas y blancas
    • Litiasis en el conducto de Wharton
    • Ránulas: obstrucción de glándula salival que produce una tumefacción translucida por debajo de la lengua.

Paladar y fauces

  • Se inspecciona fácilmente solicitando al paciente que abra la boca mientras hiperextiende el cuello. Para lograr visualización completa deben retirarse las prótesis dentales y luego de removidas. Posterior al paladar duro se encuentra el paladar blando que es de coloración amarilla y en su porción terminal se suspende la úvula. Suele ser necesario deprimir la lengua con un bajalenguas para realizar una correcta inspección.
  • En el paladar pueden encontrarse alteraciones como: paladar góticopaladar hendido, paladar ojival en la sífilis congénita o la obstrucción nasal crónica, perforación palatina por traumatismos, gomas sifilíticos o neoplasias, así como placas blanquecinas en la candidiasis, petequias en la endocarditis bacteriana, tumoraciones.
  • La úvula puede estar ausente, ser demasiado larga o ser bífida, puede estar desviada al lado sano en la lesión de los nervios craneales IX y X. El reflejo palatino puede estar disminuido o abolido en la lesión de estos nervios o en la miastenia gravis.
  • No es recomendable la palpación del paladar blando debido a que produce reflejo nauseoso en la mayoría de los pacientes. Aparte de las lesiones que también se pueden encontrar en la mucosa labial y oral existen lesiones características del paladar. Destaca el torus palatino que es un crecimiento óseo anormal en el paladar duro, bastante prevalente y que generalmente no representa una complicación para el paciente
  • La clasificación de las amígdalas, según su tamaño, sigue este orden:
    • Grado 0: no son visibles.
    • Grado i: sobrepasan un poco el pilar anterior.
    • Grado ii: llegan a la línea media de cada lado.
    • Grado iii: sobrepasan la línea media de cada lado, pero no llegan a la línea media del paladar.
    • Grado iv: tocan la línea media del paladar o la sobrepasan.
  • Las criptas amigdalinas pueden contener material descamativo blanquecino que debe distinguirse de las placas exudativas de amigdalitis pultácea.
  • Faringe y amígdalas se pueden inflamar por diversos agentes etiológicos. Mas frecuente virales: faringoamigdalitis viral
  • Difteria: ahora es rara por la vacunación. Comienzo mas insidioso, paciente taquicárdico desproporcionado, palidez y se observa exudado seudomembranoso producida por Corynebacterium diphtheriae
  • Con la ayuda de un bajalenguas, se observa la pared faringea posterior

Lengua

  • Lengua sana
    Se le solicita al paciente que la extienda hacia afuera lo más que pueda para poder observar la zona dorsal y ver todas las papilas, filiformes, fungiformes y calciformes y la función para descartar una neoplasia de la base de la lengua. Lengua normal es húmeda, papilada y rosada.
  • El tamaño de la lengua guarda relación con el tamaño de la cavidad bucal pero en algunos casos la cavidad quedara chica. Esto se conoce como macroglosia, se observa en pacientes con sd down, acromegalia, amiloidosis, cretinismo, mixedema idiopático. Los cambios progresivos en la apariencia de la lengua pueden indicar un trastorno crónico como un hemangioma de la lengua
  • Después, con la gasa, se retrae a la izquierda y la derecha para observar el borde lateral y las papilas foliadas, que pueden ser confundidas con neoplasias. Esta área es de suma importancia porque 90% del carcinoma epidermoide se presenta en la lengua, principalmente en esta zona. También se pueden ver agregados linfoides que se consideran una variación de lo normal, aunque siempre se debe descartar carcinoma epidermoide. La lengua fisurada o escrotal y geográfica se presenta en 30% de la población; la lengua saburral se debe a falta de higiene, en tanto que la lengua crenada (indentaciones en los bordes de la lengua) es otra variación que se observa con frecuencia.

Glándulas salivales

  • La exploración física de los conductos de las glándulas salivares incluye la inspección y la palpación. Además debe precisarse si existe tumoración y/o tumefacción, así como el aspecto de la piel y de los conductos excretores. Entre las alteraciones destacan:
  • Litiasis salivales. Se presentan en las glándulas parótidas y submandibulares (en su conducto principalmente por drenar contra gravedad). Pueden obstruir el conducto principal y generar dolor y aumento de volumen.
  • Infecciones. Aumento de volumen de la glándula que se asocia con el dolor. Puede ser parte de una infección sistémica (p. ej., parotiditis infecciosa, que corresponde a la conocida “paperas”), o infecciones bacterianas por invasión local.
  • Hipertrofia parotídea. Se observa un abultamiento detrás de las ramas de la mandíbula y se puede levantar un poco el lóbulo de las orejas.
  • Tumores parotídeos mas frecuentes son benignos: tumor benigno mixto o adenoma pleomorfico
  • El tumor maligno mas frecuente: carcinoma mucoepidermoide
  • Parálisis hipogloso mayor

Dientes

  • Dientes. Revisar si están todas las piezas dentales o prótesis (de la arcada superior o la inferior). La mordida se refiere a la oclusión de los dientes. La forma de tiene relación directa con las fuerzas que se ejercen y esto repercute en las articulaciones temporomandibulares. Por lo general, los molares superiores deben apoyarse directamente sobre los inferiores, y los incisivos superiores deben quedar delante de los inferiores. El movimiento de abrir y cerrar la boca debe ser libre, sin dificultades, sin dolor al ejercer presión en la articulación temoporo-mandibular. 
  • En las piezas dentarias puede encontrarse la presencia de caries, falta de algunas piezas dentarias (edentulismo) o de todas ellas (anodoncia), coloración anormal de los dientes que puede asociarse a la ingesta de café, bebidas de cola, exposición al humo del tabaco. Pueden observarse también otras anormalidades como apéndices dentales, desgaste anormal, etc.
  • Es conveniente palpar las piezas dentarias (siempre utilizando guantes), para corroborar que estén firmemente unidas al maxilar, además pueden percutirse con un abatelenguas para evidenciar si existe dolor en alguna de ellas.
  • Los cálculos salivales (o sialolitasis) consisten en la formación de piedras en los conductos de drenaje de las glándulas salivales mayores (parótida, submaxilar y sublingual), lo que produce una obstrucción al flujo de saliva hacia la boca. La glándula submaxilar produce la mayoría de la saliva y es el sitio más frecuente de formación de cálculos salivales. Las piedras se forman cuando disminuye la concentración de agua en la saliva y los componentes de la misma precipitan. Esto suele ocurrir fundamentalmente tras deshidrataciones agudas, pero algunos medicamentos (especialmente diuréticos) y ciertas enfermedades autoinmunes (síndromes de Sjogren, Sicca o Lupus) también predisponen a la formación de cálculos dentro de los conductos salivales.

  • La telangiectasia hemorrágica hereditaria (HHT, del inglés Hereditary Hemorrhagic Telangiectasia), también conocida como Enfermedad de Osler-Weber-Rendu, es un trastorno genético que conduce a la formación anormal de los vasos sanguíneos en la piel, las mucosas, y a menudo en órganos tales como los pulmones, el hígado y el cerebro.

El hemangioma en la lengua es una lesión benigna pero puede llegar a ser problemática debido a su ubicación. Es un tipo de tumor que afecta principalmente a los vasos sanguíneos, dando lugar a una masa de tamaño variable que puede oscilar entre pocos milímetros a varios centímetros. El hemangioma puede ser superficial, mostrándose como una mancha roja o morada brillante en la superficie de la lengua, o puede ser profundo, creciendo dentro de la lengua y teniendo una apariencia normal en la superficie. Suele ser blando al tacto y puede causar molestias o interferir con la alimentación o el habla.

  • El síndrome de Marfan es una enfermedad genética que afecta principalmente al tejido conectivo del cuerpo. Esta enfermedad se caracteriza por la presencia de un paladar muy arqueado y dientes apiñados y diversas anomalías en el sistema cardiovascular, ocular y esquelético, entre otras.
  • En el caso del sistema cardiovascular, las anomalías más frecuentes son el prolapso de la válvula mitral y la dilatación de la aorta ascendente. Estas anomalías pueden aumentar el riesgo de disfunción valvular y de la formación de aneurismas en la aorta, lo que puede llevar a complicaciones graves como la disección aórtica.
  • En cuanto al sistema ocular, los pacientes con síndrome de Marfan suelen presentar miopía y un aumento de la longitud axial del globo ocular. También pueden desarrollar subluxación del cristalino, lo que puede afectar la visión.
  • En el sistema esquelético, uno de los signos característicos es la aracnodactilia, que se refiere a la presencia de dedos largos y delgados. Además, los pacientes suelen tener una estatura alta, extremidades largas y una deformidad en el pecho llamada pectus excavatum.
  • El síndrome de Marfan es causado por mutaciones en el gen FBN1, que codifica para una proteína llamada fibrilina-1, la cual juega un papel importante en la formación de fibras de elastina en los tejidos conectivos del cuerpo.
  • Este síndrome se caracteriza por la hiperelasticidad de la piel, hipermovilidad articular y fragilidad de los tejidos, que pueden afectar diferentes partes del cuerpo, incluyendo estructuras orales y linguales​​.

Creado con eXeLearning (Ventana nueva)