Saltar la navegación

Examenes complementarios

  • Laboratorio
    • No hay exámenes de laboratorio específicos ni marcadores para hacer el diagnóstico de obstrucción intestinal, pero el laboratorio es de utilidad para estimar el grado de repercusión sistémica y para detectar los padecimientos concomitantes. El grado de deshidratación se puede estimar por el hematócrito y por las cifras de urea y creatinina en la sangre, y la desviación a la izquierda de la cuenta leucocitaria hace sospechar estrangulación. La determinación de los electrólitos en la sangre es indispensable para la evaluación del estado metabólico, ya que como se mencionó antes, la pérdida de agua y electrólitos conduce a alcalosis y, por otro lado, cuando el paciente está complicado por estrangulación, necrosis o isquemia mesentérica, la acidosis láctica es un indicador sensitivo. En la mayoría de los casos el diagnóstico definitivo y el tratamiento se hacen en la laparotomía de los pacientes que no tienen respuesta al tratamiento médico.
  • Imagenología
    • Estudio radiológico del abdomen
      • El estudio radiológico de elección para confirmar el diagnóstico son radiografías simples en decúbito dorsal y de pie, la placa simple en decúbito dorsal muestra asas del intestino delgado dilatadas (más de 3 cm de diámetro), éstas pueden ser múltiples y en diferentes partes del abdomen, o sólo una o dos en un sitio específico. 
      • La placa simple de abdomen de pie; en el caso de íleo biliar, en el cual el lito que pasó al duodeno a través de una fístula bilioentérica se “atora” en la válvula ileocecal. Cuando la obstrucción se encuentra en el intestino delgado no se observa aire en el colon en ninguna de las placas tomadas.
      • La tomografía axial computarizada (TAC).
  • Niveles hidroaéreos: Signo de pila de monedas
  • Asas dilatadas (asa proximal): Intestino Delgado > 3 cm e Intestino Grueso > 5 cm de diámetro. Asas colapsadas o de calibre normal asa distal.
  • Cuando existe necrosis intestinal la radiografía evidencia asa intestinal inmóvil a los cambios de posición y su contenido lleno de gas (negro)
  • Son útiles para identificar cuerpo extraño que sean el origen de la obstrucción
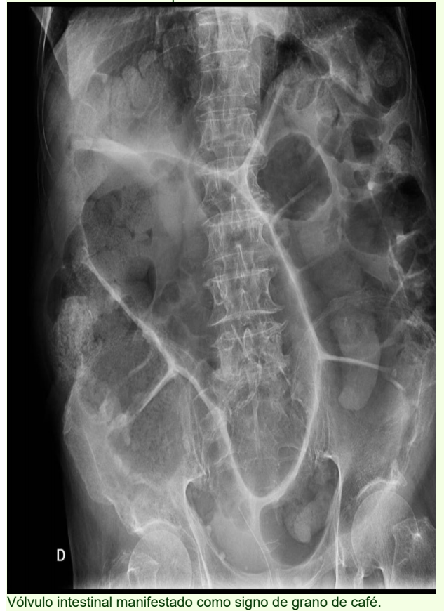
  • Signo del grano de café: Cuando la causa es un vólvulo del sigmoides
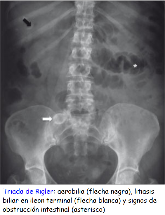
  • Signos de complicación: Pneumatosis intestinal (signo de Leo Rigler), ­
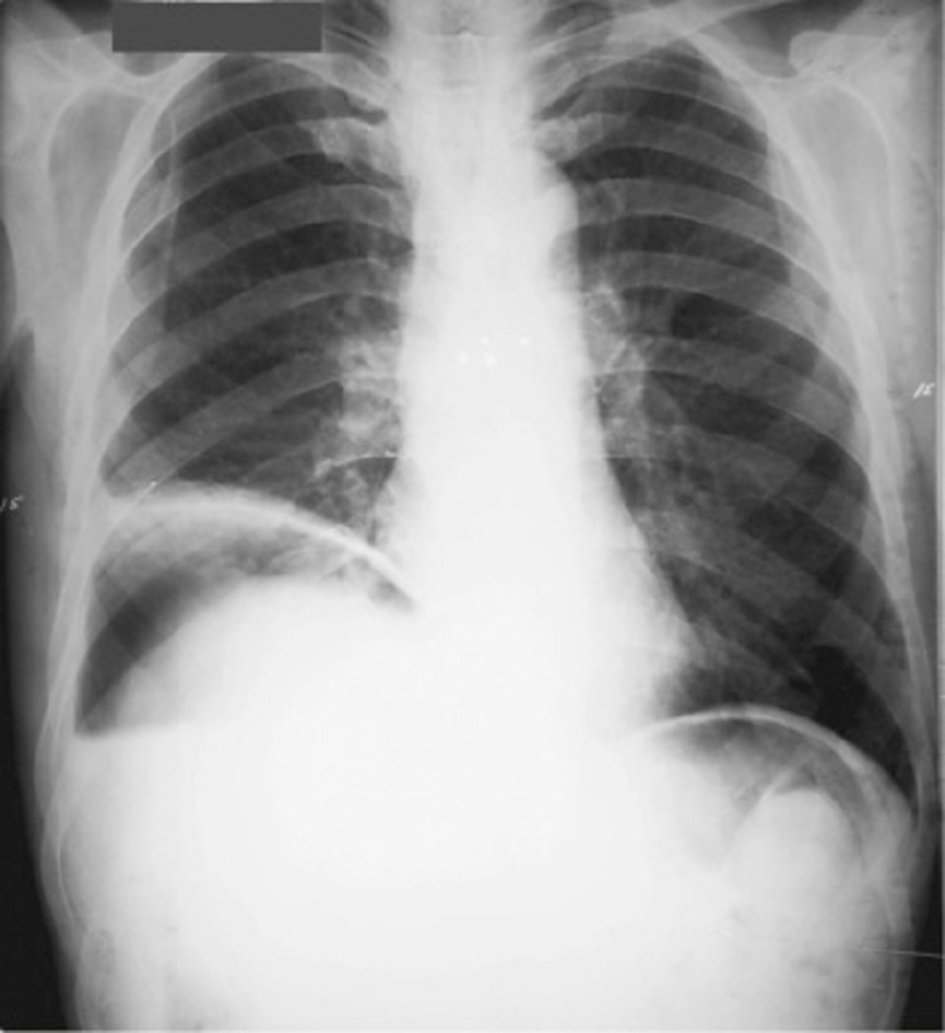
  • Neumoperitoneo (aire debajo del diafragma, generalmente sobre el hígado).

Es útil para detectar obstrucción del intestino delgado, sobre todo si la obstrucción es consecuencia de una causa extrínseca, como pueden ser tumores o abscesos; también son útiles para detectar sitios de estenosis con dilatación proximal y asas vacías distales.  Los vólvulos del tracto gastrointestinal constituyen una causa importante de abdomen agudo. El examen de elección es la tomografía computada, ya que permite observar el vólvulo, así como posibles diagnósticos diferenciales.  Tiene una alta sensibilidad para confirmar el diagnóstico, localizar el sitio de obstrucción e identificar la causa en la gran mayoría de los casos así como evaluar la presencia de complicaciones al permitir evaluar la vasculatura, los omentos, los mesenterios, el peritoneo, etc; en algunos casos es necesario administrar a través de la sonda nasogástrica material de contraste, por lo general hidrosoluble como el gastrografin; si se instila bario y existe perforación del intestino se corre el riesgo de salida del mismo, con la consecuente adherencia firme al peritoneo; en general, la TAC tiene sensibilidad de 80 a 90% y especificidad de 70 a 90%

Creado con eXeLearning (Ventana nueva)